消化器科
健康の礎となる「食」を守る。
胃腸などの消化管を始め
肝臓、胆嚢、膵臓などを含めた消化器疾患の診断と治療を行っています。
私達は動物が持つ細胞や免疫から得られる情報を最も重視し、
確定診断にこだわっています。
このような症状はありませんか?
- 食欲低下
- 嘔吐
- 下痢
- 血便
- 体重減少
- 黄疸
- 上記臓器の数値の異常が続く
消化器の病気は患部そのものが目に見えず、発見するのが遅くなる傾向にあります。動物たちは言葉を話せませんからなおのことです。症状を認識できた時点で病気自体が進行してしまっていることも少なくないので、定期的に健康診断を受診したり、普段のちょっとした変化に気づいてあげられる気遣いがとても大切です。
消化器官と代表的な病気
ひと言で「消化器疾患」と言っても、どの臓器がどんな病気になるかは千差万別です。
だからこそ、不調の真の原因を突き止めることがとても大切になるのです。
ここでは代表的な臓器とそこで発生する病気の一例をご紹介します。
肝臓
慢性肝炎・肝硬変、胆管肝炎、空胞性肝障害、肝リピドーシス、肝細胞癌、リンパ腫、結節性過形成、原発性門脈低形成など
胆嚢
胆管炎、胆嚢炎、胆石症、胆嚢粘液嚢腫など
膵臓
膵炎(急性、慢性)、膵嚢胞、膵腺癌、膵外分泌不全、インスリノーマなど
胃腸
食道炎、食道狭窄、巨大食道、幽門狭窄、慢性腸症、蛋白喪失性腸症、リンパ腫、胃腺癌、直腸腺癌、ポリープ(胃、大腸)、腸リンパ管拡張症など
隠れた病気
副腎、甲状腺、糖尿病などホルモンの病気、腎泌尿器の病気、アレルギーなどの免疫の関わる病気
予防について
私達は病気の「なぜ」を重視した診療を行っていますが、その前に予防できる病気は多くあると考えています。
消化器疾患について「これをやっていれば確実に予防できる」という方法はありませんが、
リスクを減らす方法はあります。その代表例を2つご紹介します。
予防関連
寄生虫・ウイルスなどによる感染症の多くはワクチンや駆虫薬で予防することが可能です。当院でも各種予防接種を行っておりますし、一般的な動物病院であればどこでも行っていると思いますので、かからなくていい病気にならないためにも面倒がらずに接種を行うことをおすすめします。
食事療法
食事が合っていない場合には背景にアレルギーが関与していることがあります。アレルギーは消化器以外にも皮膚や呼吸の疾患を引き起こすことがありますので、重症化しないために体に合ったフードを見つけることをおすすめします。
検査について
消化器疾患の原因を特定するためには様々な検査を行う必要があります。
複数の検査結果を基に病気の原因となっている臓器や物質を突き止めていきます。
また、検査手法だけでなく、アレルギーや腫瘍、病理学など多角的な知見から症状に向き合うことが大変重要です。
ここでは消化器疾患の治療に先立って行われる代表的な検査項目をご紹介します。
血液検査
肝臓、胆嚢や膵臓の数値の異常を確認します。また背景にある炎症、ホルモン、アレルギーの異常を確認します。
糞便検査・遺伝子検査
感染症の有無や炎症の質・程度を評価します。一部の感染症は遺伝子診断も可能です。
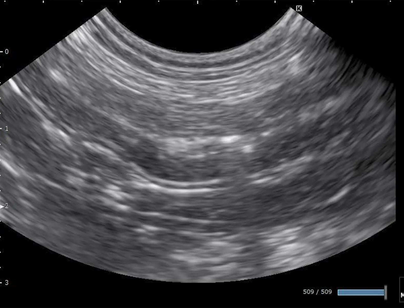
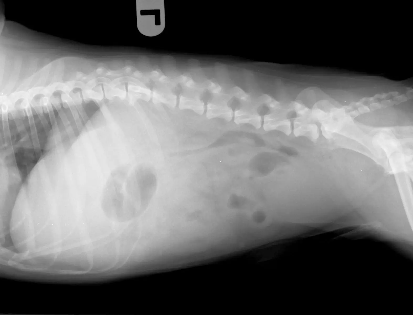
画像検査
X線検査では腹部臓器の大きさや形、位置の変化などを評価します。超音波検査では無麻酔で腹部臓器の詳細な評価が可能です。
内視鏡検査
食道・胃腸内部を詳細に評価します。また異物摘出やポリープ切除などは同時に治療を実施することができます。
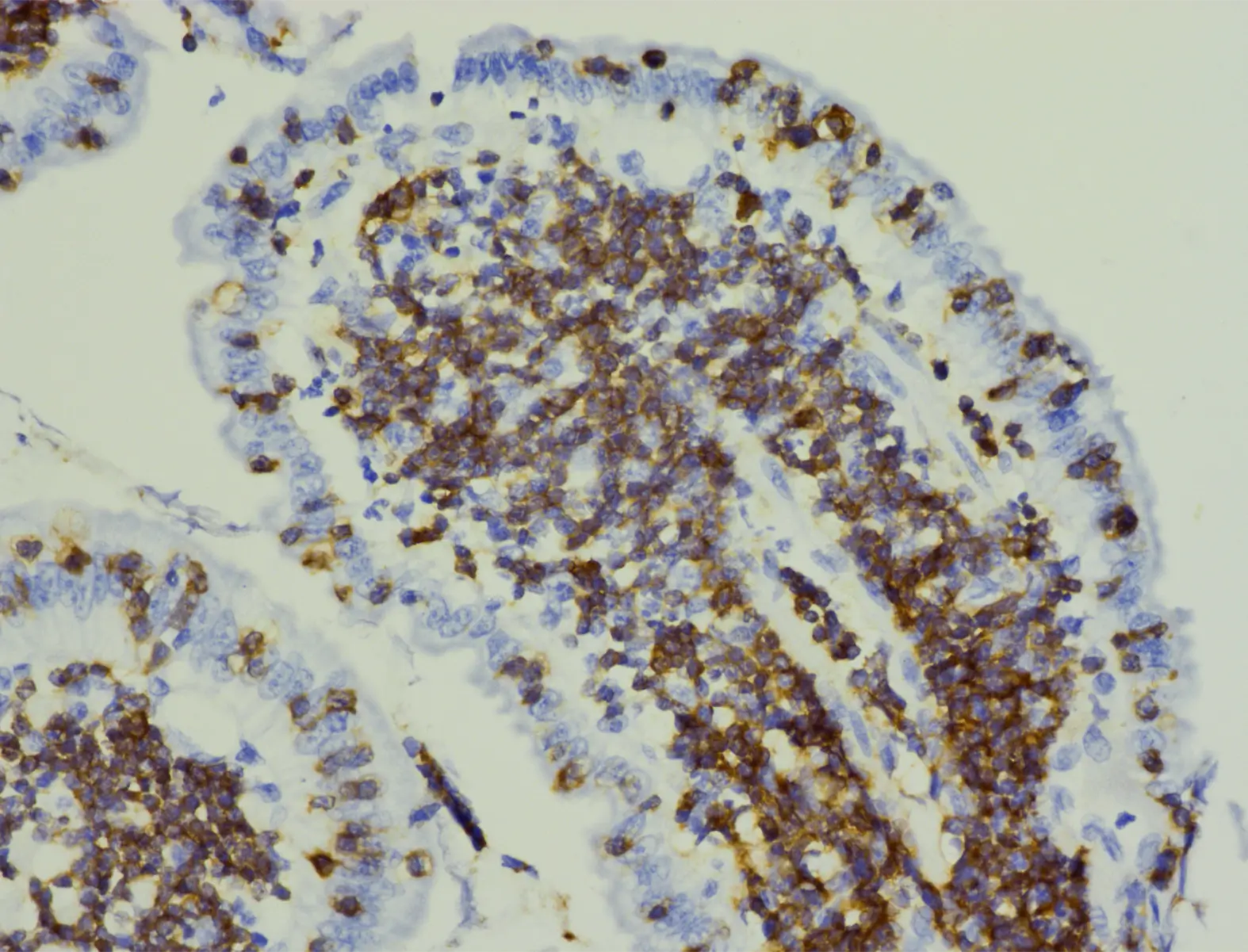
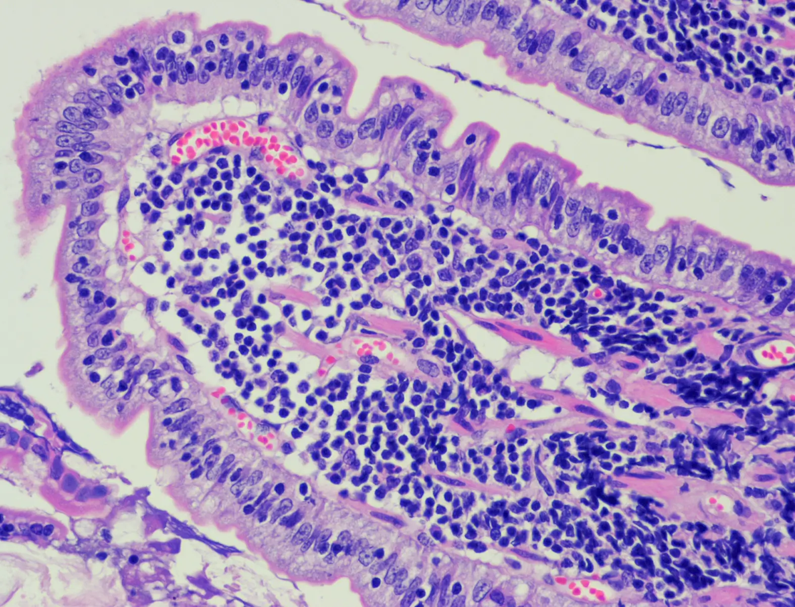
病理検査
超音波検査下で採取した細胞や内視鏡検査や開腹手術で採取した組織から確定診断を行います。
治療について
各種検査を経て確定した診断に応じて治療が行われます。
治療の内容は病気や進行度合いによって変わってくるものですが、当院ではご家族さまとのコミュニケーションを大切に、
各ご家庭の事情や飼育環境なども踏まえた総合的な判断によって方針を決定しております。
主な治療方法は大きく下記の通りとなります。
内科療法
腸炎をおさめるための薬には抗炎症薬や腸内細菌を調整するための治療薬などを使って治療を行います。それらの薬も様々な種類がありますので動物の状態によって選択が必要です。また栄養状態が悪い場合は点滴も行います。
食事療法
消化器の治療には食事療法は重要です。病期(急性や慢性)や病気の質(アレルギーや低脂肪食など)によって使い分けます。また動物の好みでドライフードやウェットフードを選びます。
内視鏡手術
慢性腸症の場合には治療が長期に渡ることがあります。長期の治療には正確な診断を行って納得感のある治療選択が重要です。正確な診断のためには病理検査が必要ですが、開腹手術より低侵襲な内視鏡検査や手術を希望されるご家族さまが増えています。
レーザーや電気メスによる外科手術
開腹手術が避けられない場合にも極力、動物の体力や早期の回復を期待してレーザーや電気メスを用いた安全性の高い低侵襲手術を行っています。
CARE GASTROENTEROLOGY
