
臨床と獣医病理学によるシナジーで
動物と人の幸せな明日を創る。
動物と人の幸せな明日を創る。
小島動物病院アニマルウェルネスセンターは、
1979年の開業以来、新潟市秋葉区を拠点に
動物たちと人、そして地域社会との絆を大切に診療を行ってまいりました。
獣医療サービスを通じて社会に貢献することで、
明るい未来を創ることができると、私たちは信じています。

MEDICAL INFORMATION
当院の特長
当院を形づくる2つの軸「WELLNESS」と「PCAP」
病気の予防と基本的な診療、そして日常的なケアまでを総合的に提供する「WELLNESS」の領域と、
獣医病理学を核とした独自の専門診療領域「PCAP」の2つの軸で、
人と動物たちが織り成すストーリーをより豊かに、明るいものにしていくこと。それが私たちの使命です。
※PCAPは「Pathology Centered Animal Practice(病理学を中心にした動物の診療)」を略した造語で、当院の診療概念を表すものです

〈 診療対象動物 〉

犬

猫

うさぎ

鳥

ハムスター

フェレット

モルモット
1
一般診療WELLNESS

獣医療において最も大切なことは何より病気にならないことです。
「WELLNESS」の領域では、健康な状態を維持して病気にさせないこと、
異変になるべく早く気付いてあげることにフォーカスしつつ、
ご家族さまと密にコミュニケーションをとりながら日常のケアをお手伝いします。

何より病気に
ならないことが大切。
ならないことが大切。
2
専門診療PCAP

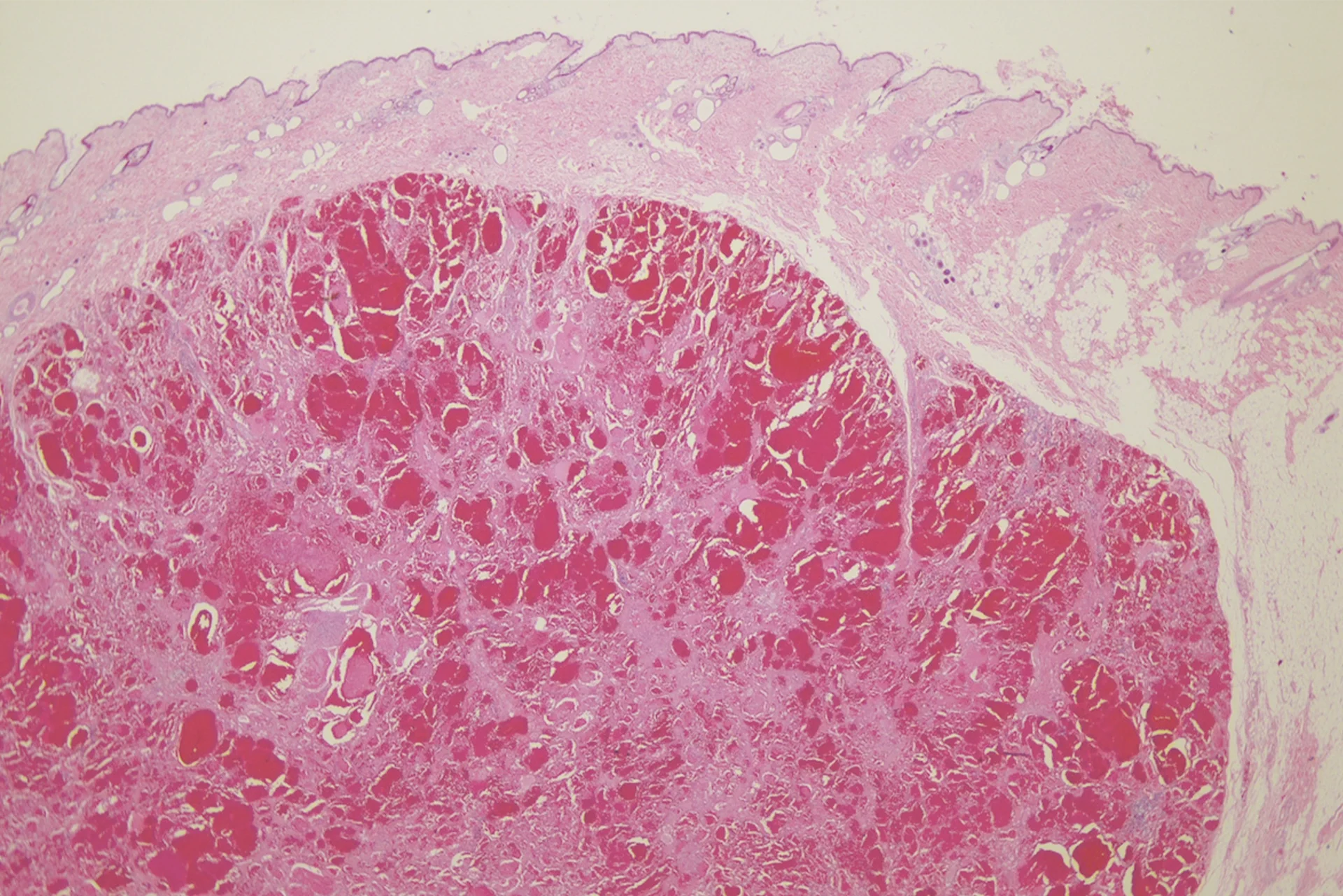
当院最大の特徴である「PCAP(病理学を中心にした動物の診療)」によって、
何の病気に、どうしてなってしまったのかという「ヤマイ(病)のコトワリ(理)」を解き明かすと同時に、
この獣医病理学の知見と所属獣医師がもつ専門分野の知見を掛け合わせることで、
病気をより深く理解し、向き合い、治療方針を決めていくことを大切にしております。

治療に必要なことは、
病気の正体を
正確に見極めること。
病気の正体を
正確に見極めること。
















